google.com, pub-3431032328095811, DIRECT, f08c47fec0942fa0
Home / Tag Archives: dizem médicos

Tag Archives: dizem médicos

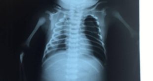
Bebê baleado na barriga da mãe pode não ficar paraplégico com procedimento, dizem médicos

A equipe médica responsável pelo atendimento do bebê baleado na barriga da mãe na última sexta-feira disse que o quadro de paraplegia do pequeno Arthur pode ser revertido. Os médicos se reuniram nesta segunda-feira com o secretário de saúde de Duque de Caxias para uma coletiva de imprensa. O bebê ...

Leia Mais »