
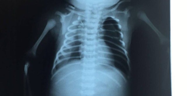
A equipe médica responsável pelo atendimento do bebê baleado na barriga da mãe na última sexta-feira disse que o quadro de paraplegia do pequeno Arthur pode ser revertido. Os médicos se reuniram nesta segunda-feira com o secretário de saúde de Duque de Caxias para uma coletiva de imprensa. O bebê foi atingido durante um tiroteio na Favela do Lixão e permanece em estado grave.
— Seria precipitado dizer se ele vai ficar paraplégico ou não. É possível que o quadro seja revertido. O foco agora é manter ele respirando e bem alimentado — disse o neurocirurgião Eduardo França, que participou da entrevista ao lado do secretário de saúde de Duque de Caxias, José Carlos Oliveira.
O pai da criança, Klebson da Silva, fez a certidão de nascimento do bebê pela tarde. A mãe do menino, Claudineia dos Santos, segue internada na Unidade de Pacientes Graves do Hospital Moacyr do Carmo, se recupera bem e deve ser transferida para a enfermaria da maternidade, segundo o própiro marido. Por opção do mesmo, Claudineia não sabe do estado de saúde do filho.
— Ela está tranquila e me pediu até maquiagem — contou Klebson ao sair da visita.
O pai do menino vai ser ouvido na 59ª DP (Duque de Caxias) nesta segunda-feira. A polícia ainda não conseguiu ouvir Claudineia e ele deve relatar aos agentes o que a esposa pode ter lhe dito durante o tiroteio em que foi baleada.
Acompanhe mais notícias do Paraíba em Minuto nas redes sociais: Facebook e Instagram.
Entre em contato com a redação do Paraíba em Minuto:
Telefone: (83) 98704-3401
WhatsApp: (83) 98704-3401
E-mail: redacaosantaritaverdade@gmail.com
Paraíba em Minuto A Informação com Credibilidade